Aunque es difícil eliminarlas por completo, podemos lograr disimular su apariencia hasta que no sean visibles.

Aunque es difícil eliminarlas por completo, podemos lograr disimular su apariencia hasta que no sean visibles.
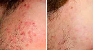
Si tienes cicatrices en el rostro debido a un accidente o quemadura, es posible que te interese conocer los tratamientos estéticos más recientes. Las cicatrices faciales pueden ser un gran problema para algunas personas, ya que pueden dar un aspecto irregular a la piel. Los tratamientos para cicatrices faciales permiten una recuperación rápida de la zona tratada, son seguros, efectivos y en muchos casos, reemplazan la necesidad de cirugía.
Puedes enviarnos un mensaje completando el siguiente formulario. Nos aseguraremos de responderte lo antes posible.
Este sitio web utiliza cookies para que usted tenga la mejor experiencia de usuario. Si continúa navegando está dando su consentimiento para la aceptación de las mencionadas cookies y la aceptación de nuestra política de cookies, pinche el enlace para mayor información.
ACEPTAR